27 oktober 2025

Reportage: een dagje meelopen in het Borstkankercentrum
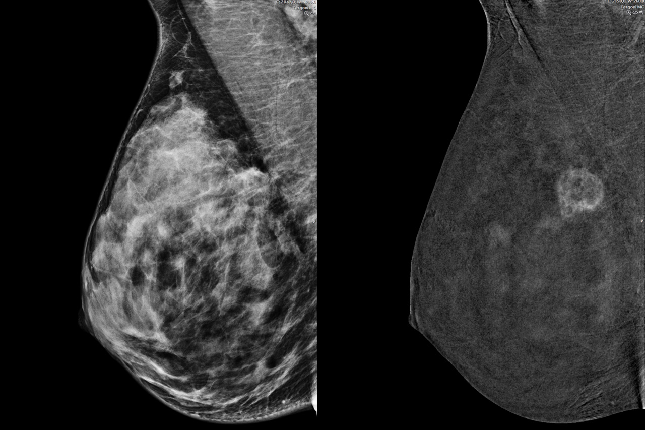
In de zachtroze ontvangstruimte zitten enkele vrouwen zichtbaar gespannen te wachten tot ze aan de beurt zijn. De één heeft iemand meegenomen en de ander is alleen. Een 54-jarige patiënt is de volgende die zich mag melden in de echokamer. Ze ligt met een hand achter haar hoofd op de behandeltafel zodat radioloog Esteban van Keulen haar borst goed kan onderzoeken. Op de mammografie waren drie kleine lichtgrijze vlekjes te zien wat voor een schrikmoment zorgde.
Controle
‘Ik ben normaal gesproken heel nuchter, maar nu beginnen de zenuwen toch wel te komen’, zegt de patiënt, terwijl de tranen in haar ogen springen. ‘Mijn moeder is overleden aan borstkanker. Toen ik een aantal jaar geleden ook een knobbeltje voelde, heb ik het direct laten onderzoeken. Gelukkig was het goedaardig, maar ik blijf nog altijd onder controle.’
Van Keulen zet de echokop op haar borst en ziet al snel dat het om cystes gaat, geen tumoren. De opluchting is duidelijk van haar gezicht af te lezen. ‘Je kunt weer met een gerust hart naar huis’, besluit Van Keulen. Maar dat geldt niet voor iedereen, vrijwel elke dag wordt bij één of meer vrouwen wél borstkanker geconstateerd. Meer dan tachtig procent daarvan is ouder dan vijftig jaar.

De meeste patiënten komen via de huisarts of het bevolkingsonderzoek bij het Borstkankercentrum terecht. De onderzochte patiënt vindt het fijn dat op zo’n stressvolle dag alles op één afdeling gebeurt, en dat is precies hoe de poli is ingericht. Je belandt in een traject dat bestaat uit verschillende schakels, verbonden door een lange gang. Aan weerszijden bevinden zich spreekkamers gevuld met specialisten die zich elke dag met hart en ziel inzetten voor hun patiënten.
De eerste schakel is radiologie. Van Keulen zit samen met collega Pien van Dijk in een donkere kamer achter grote computerschermen mammografieën te bekijken die net door radiodiagnostisch laboranten zijn gemaakt. Van Keulen legt uit dat er verschillende soorten foto’s gemaakt kunnen worden. ‘Eerst wordt er een 3D-mammografie gemaakt; daarmee kunnen we laagje voor laagje de borst bestuderen. Maar vooral bij veel (wit) klierweefsel zien we vaak minder goed waar een mogelijke afwijking precies zit. Het zijn witte plekjes tegen een witte achtergrond. Daarom gebruiken we ook een andere techniek: een mammografie met contrastvloeistof. Daarbij wordt de achtergrond van de borst donker en springt de witte afwijking eruit. Zo kunnen we goed zien of het om een tumor of een cyste gaat.’

Biopt
Soms wordt er ook nog een echo gemaakt en, als het nodig is, een biopt genomen. ‘Dat is wel pijnlijk, maar de borst wordt natuurlijk goed verdoofd. Soms is een stevige naald nodig, zeker wanneer we het hier moeten doen op een zogenoemde stereotaxietafel. Maar die naald zien de patiënten niet, want ze liggen op hun buik met de borst door een gat in de tafel’, stelt Van Keulen gerust. ‘Het biopt wordt opgestuurd naar de patholoog om te kijken of het om een goedaardige of kwaadaardige tumor gaat.’
Van Keulen en Van Dijk zijn de eersten die zien wat er speelt, en dus vaak degenen die het slechte nieuws moeten brengen. ‘Het is confronterend en soms ook best hard, maar we willen zo eerlijk mogelijk zijn zodat de patiënt niet voor verrassingen komt te staan. Het is wel een beetje inschatten wat iemand aankan. Niet iedereen zit meteen in zak en as als ze horen dat ze borstkanker hebben. Ik zeg er meestal bij dat zelfs de worstcasescenario’s vaak op te lossen zijn’, zegt Van Dijk.
Informatiebijeenkomsten bij Viore
Tergooi MC werkt nauw samen met Viore, een gastvrij centrum voor iedereen die leeft met kanker. Bij Viore kunnen bezoekers iedere werkdag zonder afspraak en zonder verwijzing terecht voor psychosociale ondersteuning, ontmoeting en activiteiten om te leren omgaan met kanker en de gevolgen daarvan. Onze zorgverleners zijn regelmatig betrokken bij informatiebijeenkomsten bij Viore, waar deskundigen de nieuwste ontwikkelingen bespreken en bezoekers vragen kunnen stellen of ervaringen delen. Meer weten? Bezoek de website van Viore en bekijk daar actuele agenda van bijeenkomsten.
‘Mensen verbinden borstkanker regelmatig aan doodgaan, maar dat is echt niet altijd zo. Als het misgaat, komt het door uitzaaiing, niet door de borstkanker zelf. We zijn er om je beter te maken, en het loopt heel vaak goed af’, vult Van Keulen aan.
De radioloog verklaart het succes mede door goede behandelmogelijkheden en de korte lijntjes binnen het Borstkankercentrum. Wanneer een tumor kwaadaardig lijkt te zijn, komt de patiënt terecht bij Kristel Lisabeth, Physician Assistant (PA). ‘Ik neem bepaalde taken over van een medisch specialist en doe een deel van de nazorg. Allereerst bespreek ik met de patiënt wat de radioloog heeft gezien, vraag naar de familiegeschiedenis en doe nog een lichamelijk onderzoek. Vervolgens bespreken we de behandelmogelijkheden’, vertelt Lisabeth.
Steun en toeverlaat
De nadruk ligt op de poli sterk op nazorg, laat ze weten. ‘Patiënten worden tijdens hun behandelingen geleefd. Wij zijn hun steun en toeverlaat en bouwen een bijzondere band met hen op. We gaan met elkaar in gesprek om een holistisch beeld te krijgen van hoe het met ze gaat. Daarbij gaat het niet alleen om de cosmetiek, maar ook om hoe het mentaal met hen is.’
Naast de PA is er ook mammacareverpleegkundige Chantal Walter, die patiënten begeleidt in de periode direct na de diagnose en rond de operatie. Ze helpt bijvoorbeeld met boekjes om het nieuws aan kinderen te kunnen vertellen, of deelt tips voor comfortabele bh’s.

Het volgende deurtje dat Van Keulen opent, is dat van oncologisch chirurg Alwine Hellingman. Ze is net even uit de operatiekamer gestapt en wacht op de uitslag van een biopt, dat bepaalt welke vervolgstappen ze gaat nemen. Hellingman vertelt over het behandelingsproces: ‘Tegenwoordig kan veelal een borstsparende operatie worden gedaan. Bij een kleine tumor, kleiner dan twee centimeter, wordt vaak alleen geopereerd.’
‘Een grotere tumor wordt eerst door de internist behandeld, met chemo- of immunotherapie om de tumor te verkleinen. Dan komen wij weer in beeld en kijken we of we een borstsparende operatie kunnen doen, gevolgd door bestraling, of dat een borstamputatie nodig is. Maar we streven altijd naar genezing voordat we moeten opereren. In de toekomst hopen we met nieuwe inzichten zelfs helemaal geen operaties meer te hoeven doen’, zegt Hellingman.

Ze is dol op haar vak. ‘Ik mag mensen beter maken. Tuurlijk is het soms best heel zwaar en verdrietig, vooral voor de patiënten. Maar als ze ter controle terugkomen, zijn ze vaak erg opgelucht. Je gaat met een schoon lijf verder, zeg ik altijd.’ De chirurg doet gemiddeld vijf operaties per dag. Ze ziet echter een zorgelijke stijging van het aantal vrouwen met borstkanker.
In 2024 kregen ongeveer 18.000 vrouwen en 180 mannen de diagnose. ‘We weten niet alle oorzaken van de ziekte, maar ik denk dat een ongezonde leefstijl, zoals veel alcoholgebruik of te weinig beweging, de kans vergroot. Anderen zijn weer erfelijk belast.’
De internist-oncoloog
Mocht het zover komen dat de borstkanker is uitgezaaid, dan kom je in de deskundige handen van internist-oncoloog Sylvia Luykx terecht. Ze is daarnaast ook betrokken bij de voorbehandeling, om besparende operaties mogelijk te maken, en ze behandelt oudere patiënten die geen operatie willen of aankunnen. ‘Mijn werk is net wat breder en uitdagender dan dat van een chirurg die met name de lokale behandeling van de borst doet’, zegt Luykx met een glimlach. ‘Vaak bevinden de uitzaaiingen zich in de longen, lever, botten of zelfs hersenen. Ik ga op zoek naar specifieke oplossingen om de kanker te bestrijden. Het gaat voor de patiënt in dit stadium om overleven, en dat wij er alles aan doen zodat zij hun (klein)kinderen nog zien opgroeien. We gaan vol voor de patiënt.’

Ondanks dat alle specialisten verschillende taken hebben, werken ze met hetzelfde doel voor ogen, benadrukt Van Keulen ‘We zijn een team voor de patiënt én voor elkaar. We kennen elkaar goed en zijn goed op elkaar ingespeeld, dat is belangrijk op deze poli. Samen leveren we maatwerk en bundelen we onze krachten om de patiënt beter te maken.’
E-mail nieuwsbrief